Invisalign®
Invisalign®
Invisalign® is an amazing option to straighten teeth that has come a long way since it’s inception over 20 years ago. Today, almost everyone can be an Invisalign® candidate if treated by the right orthodontist.
- Dr. Best has treated tons of patients of all ages with Invisalign, from 7 to 85 years old.
- There are no impressions! We scan your teeth digitally and then send the 3D model to the computer.
- Dr. Best digitally moves your teeth so that they look beautiful and fit together perfectly using a special software, and then sends the model to the lab to make your custom aligners.
- You wear your aligners all the time (except when eating and brushing your teeth), and change them weekly at home until we need you to check in again.
- Because you are in control of your treatment, we usually only need to see you every 3-4 months, and these appointments can often be virtual!
- Some of the advantages of Invsialign® include: easier oral hygiene, no food restrictions, fewer overall in office appointments, and improved esthetics
- Don’t forget, however, that Invisalign® doesn’t work unless you wear your aligners as instructed!
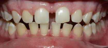
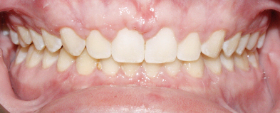
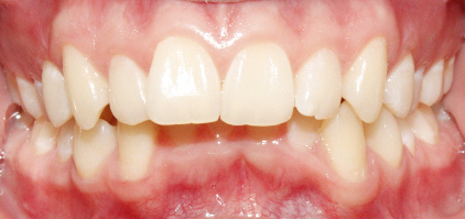
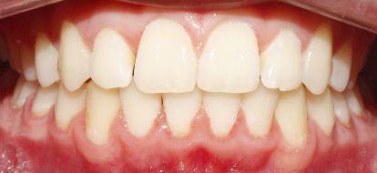
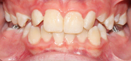
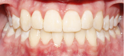
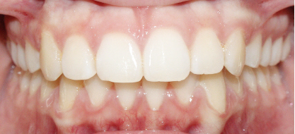
Check out some of our before and after photos below for patients who had Invisalign®. Move the slider to see the transformation!








Book a Free Consultation
The first step towards acheiving the smile you’ve always wanted.



